Samsung Presents Clinical Value of Its Enhanced Intelligent Assist Solutions During the Virtual ISUOG World Congress 2021
Korea on October 15, 2021
Intelligent Assist solutions are Samsung’s latest deep learning-based diagnostic assistance functions for Women’s Health Ultrasound
Samsung introduces new high-end ultrasound system 'V8'
Samsung Medison, a global medical equipment company and an affiliate of Samsung Electronics, presents the clinical value of its latest deep learning-based diagnostic solutions during the virtual ISUOG (International Society of Ultrasound in Obstetrics & Gynecology) World Congress 2021 held between Oct 15th to the 17th.
“Since the launch of the ‘Intelligent Assist’ solution in 2020, we have been actively listening to the needs of our customers and have reflected the needs of the market into our enhanced AI-based image processing technologies and diagnostic assistance functions,” said Won-Chul Bang, Vice President, Head of Customer Experience Team at Samsung Medison. “We will actively introduce various ultrasound diagnosis solutions to meet customers’ needs in the future preemptively.”
Samsung is launching its enhanced ‘Intelligent Assist’ software in its premium ultrasound device, HERA W10, and will be presenting its clinical values for “Improving Accuracy and Efficiency” for fetal anomaly detection using its AI solutions during the online symposium on October 17th.
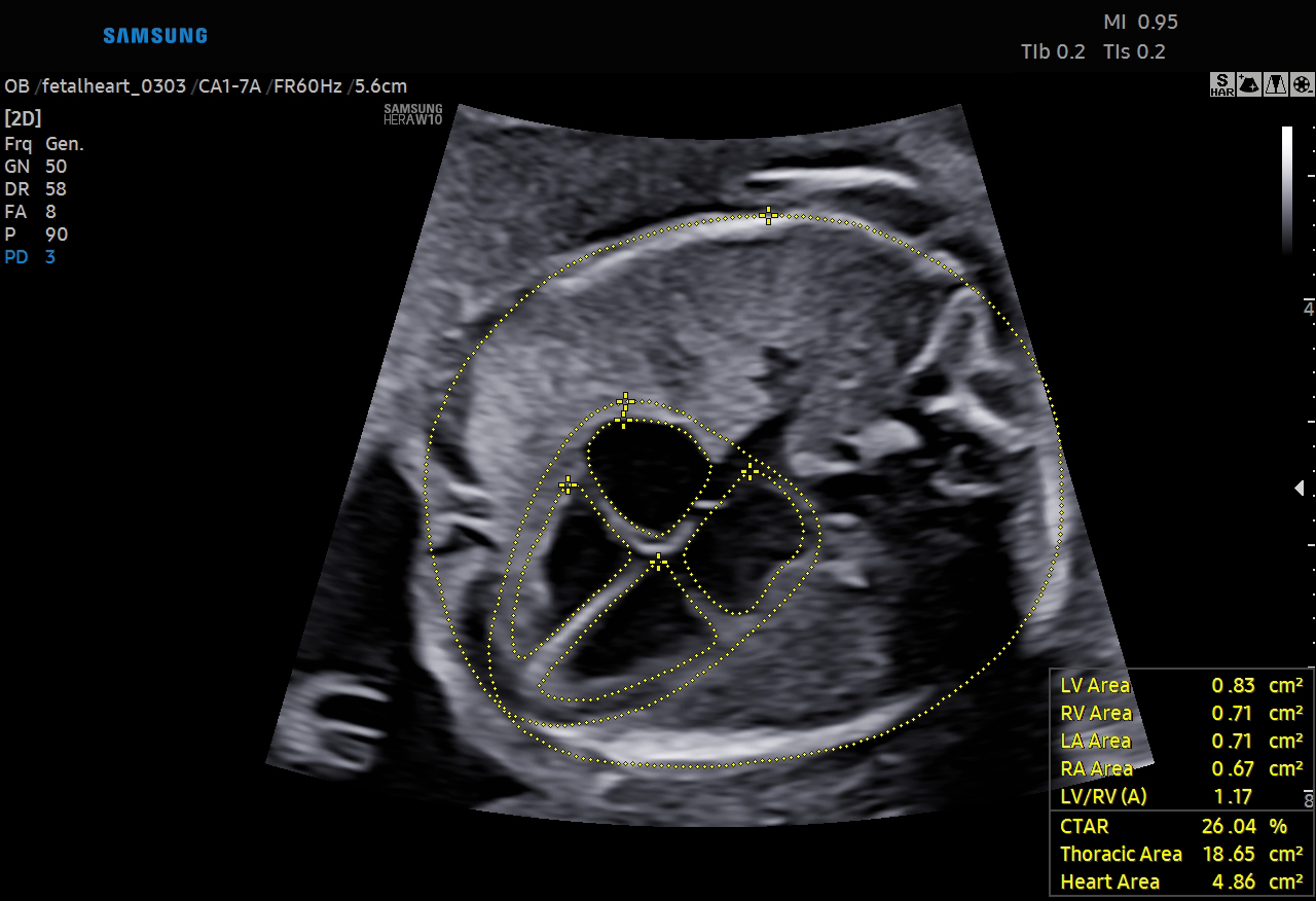
‘Intelligent Assist’ solution includes ‘Biometry Solution’ for assessment of the fetal growth and ‘Fetal Heart Solution’ for the assessment of the fetal heart.
‘Biometry Solution’ recognizes images such as the fetal head, abdomen, lower extremities and others and measures the fetal growth and development while the ‘Fetal Heart Solution’ recognizes the view of the fetal heart, annotates the images and measures the necessary fetal heart structures for a thorough fetal heart anomaly assessments.
During the symposium, Aris Papageorghiou, Clinical Research Director of the Maternal and Perinatal Health Institute at Oxford UK and the professor in obstetrics and fetal medicine at St George’s University Hospitals UK, will be introducing his clinical experiences with Samsung’s ‘Intelligent Assist’ solutions.
Hye-Sung Won, professor of the Department of Obstetrics and Gynecology at Asan Medical Center, Korea, will introduce the MPI+ that semi-automatically measure LV MPI and RV MPI to analyze the fetal heart function. She will also be presenting her findings of the feasibility and reliability of ‘Fetal Heart Solution’ in automatically providing complex fetal heart view image classifications and fetal heart structural measurements.
In addition, Samsung will be introducing its high-end versatile ultrasound device ‘V8’, first released on September 30th, at the virtual exhibition hall during ISUOG 2021.
‘V8’ will include some of the enhanced solutions that are dedicated to the premium ultrasound system such as MV-Flow™, a novel alternative to power Doppler for visualizing the slow flow of micro-vascularized structures, and LumiFlow™, three-dimensional visualization of blood flow which helps the user understand the structure of small vessels intuitively. ‘V8’ will also include some of the ‘Intelligent Assist’ solutions to cater to the needs of the larger busy hospitals.
For more information on Samsung’s healthcare division, its subsidiaries and products, please visit https://www.samsunghealthcare.com.

The image delineates that the fetal head is automatically recognized and measured along with the fetal growth when ‘Biometry Solution’ is executed.

The feature automatically recognizes and annotates the anatomy of the fetal heart and displays measured values when the ‘Fetal Heart Solution’ is executed.
About Samsung Medison
Samsung Medison is a global leading medical device company, specializing in diagnostic imaging devices. With a mission to bring health and well-being of people’s lives, the company is committed to create a new future for medical professionals and patients around the world across various medical fields. In 2011, Samsung Medison became an affiliate company of Samsung Electronics, integrating world’s best IT, image processing, semiconductor and communication technologies into medical devices.